Carcinoma de células renales claras metastásico que simula el cáncer de tiroides anaplásico: informe de un caso
Mar 06, 2022
Resumen
metastásicorenalEl carcinoma de células de la tiroides es un diagnóstico histopatológico raro pero agresivo, que a menudo puede omitirse del diferencial clínico inicial. Esto se debe en parte al largo período de latencia entre el iniciorenalprimario y aparición de enfermedad metastásica, junto con biopsias por aspiración con aguja. Aquí presentamos un caso interesante de una metástasis de células clarasrenal-carcinoma de células que simula una neoplasia tiroidea primaria agresiva, 10 años después de la nefrectomía por unrenalprimario, destacando las consideraciones clave de diagnóstico y manejo.
Palabras clave:cáncer de tiroides, carcinoma metastásico de células renales, inmunoterapia, renal

CISTANCHE MEJORARÁ LA FUNCIÓN RENAL/RENAL
Una mujer Cree de 70-años, conocida por síndrome metabólico, bocio multinodular y síndrome de células claras izquierdo.renalEl estado del carcinoma de células celulares (ccRCC) después de la nefrectomía y la suprarrenalectomía en 2011, se vio por primera vez en el hospital comunitario por dificultad respiratoria y alteración del estado mental (Glasgow Coma Scale 3). Fue intubada en el servicio de urgencias y trasladada a nuestro centro de cuidados cuaternarios con un diagnóstico de trabajo de presunto evento cardíaco. El cateterismo cardíaco urgente reveló coronarias normales, por lo que no requirió intervención. Una angiografía por tomografía computarizada (TC) del tórax demostró áreas parcheadas multifocales de consolidación y opacidades en vidrio deslustrado compatibles con neumonía multifocal, así como una gran masa de 5,7 × 4,1 cm en el lóbulo derecho de la tiroides, lo que podría comprometer las vías respiratorias. a nivel de la entrada torácica. Su equipo primario comenzó el tratamiento de la neumosepsis y consultó a nuestro servicio para las investigaciones en curso y el manejo de la masa tiroidea.
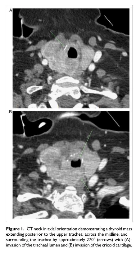
En el examen, el paciente tenía una masa tiroidea firme en el lado derecho que causaba una desviación de la tráquea hacia la izquierda. En la ecografía, apareció hiperecoico/isoecoico y mal definido, aparentemente fusionándose con el parénquima circundante heterogéneo. Nuestro equipo intentó lograr un diagnóstico de tejido; sin embargo, los intentos de biopsia por aspiración con aguja fina guiada por ecografía (BAAF) produjeron Bethesda I (x3) y Bethesda III (x2). Si bien discutimos una biopsia con aguja gruesa con nuestros radiólogos intervencionistas, optaron por repetir un FNAB ya que la tiroides parecía significativamente vascular. Durante las reuniones interdisciplinarias, decidimos realizar una biopsia en cuña de la masa tiroidea con fines de diagnóstico, seguida de una traqueotomía abierta debido a su importante traqueomalacia y sin un plazo previsible para la extubación. Se solicitó una TC de cuello y tórax de seguimiento antes de la cirugía, que demostró que la masa ahora se extendía a la superficie posterior de la tráquea superior, cruzaba la línea media y rodeaba la tráquea en aproximadamente 270 grados (Figura 1). Había invasión de la luz traqueal con la masa rodeando el tubo endotraqueal y preocupación por la invasión cartilaginosa a nivel del cartílago cricoides derecho. Además, había múltiples nódulos pulmonares pequeños bilaterales, que previamente estaban oscurecidos por focos de consolidación y preocupantes por las metástasis. Una tomografía por emisión de positrones (PET) mostró que la masa tiroidea era significativamente hipermetabólica (SUV=5.1), mientras que los nódulos pulmonares solo tenían una captación inespecífica de bajo grado (SUV=3.8). El principal diagnóstico diferencial fue el cáncer tiroideo anaplásico (ATC) dada la rápida progresión, invasividad y comportamiento agresivo de esta masa.

LA CITANCHE MEJORARÁ LA INFECCIÓN RENAL/RENAL
Intraoperatoriamente, el paciente comenzó a sangrar excesivamente en el sitio de la resección en cuña. La hemostasia finalmente se logró usando una combinación de cauterización, ligadura con sutura de los bordes cortados de la tiroides y varios agentes hemostáticos, incluida una matriz hemostática de gelatina y trombina. La pérdida total de sangre fue de aproximadamente 2 L, lo que requirió reposición con varias transfusiones de sangre. Se aplazó la traqueotomía y se la transfirió de regreso a la unidad de cuidados intensivos en condición estable. A la semana siguiente se realizó una traqueotomía percutánea a pie de cama sin complicaciones.
La patología quirúrgica de la resección del istmo demostró un nódulo blanco y se identificó ccRCC metastásico dentro de la glándula tiroides y los tejidos peritiroideos (Figura 2). El foco mayor medía 1,6 cm, con angioinvasión. La inmunohistoquímica mostró positividad para RCC, CA-IX y Pax8, positividad focal para EMA y negatividad para tiroglobulina, servilleta, CK7 y CK20; por lo tanto, el perfil inmunohistoquímico apoya el diagnóstico de ccRCC invasivo en lugar de neoplasia tiroidea primaria. Dada la naturaleza extremadamente vascular de este tumor tiroideo y el alto riesgo de hemorragia, se consideró quirúrgicamente irresecable. Nuestro equipo de oncología médica comenzó el tratamiento con un inhibidor de la tirosina quinasa, axitinib, seguido de una prueba con un anticuerpo IgG4 monoclonal humanizado altamente selectivo llamado pembrolizumab.

Discusión
La glándula tiroides es un sitio raro para que se desarrolle la enfermedad metastásica. 1 Un estudio de autopsias en más de mil pacientes que murieron con todo tipo de cánceres diseminados que intenta identificar sitios secundarios de metástasis aisladas de la enfermedad en la tiroides en menos del 5 por ciento de los pacientes. 2 En una revisión de 10-años, los tumores sólidos metastásicos en la glándula tiroides representaron el 0.13 por ciento de los nódulos tiroideos resecados. 3 Históricamente, los cánceres de mama y de pulmón fueron los tumores malignos más comunes que metastatizan en la glándula tiroides. 4–6 Sin embargo, en una revisión reciente, ccRCC ha superado a este último, representando el 48,1 por ciento de la enfermedad metastásica en la tiroides.

Un desafío en el diagnóstico de CCR metastásico surge del largo período de latencia que sigue al diagnóstico inicial de la neoplasia maligna primaria y la aparición de la enfermedad metastásica. Las metástasis de tiroides de nuestra paciente fueron diagnosticadas 10 años después de surenal-diagnóstico de cáncer de células. De manera similar, una revisión sistemática reciente mostró que el tiempo para la detección de metástasis en la tiroides de CCR oscila entre varias semanas y 31 años. 1,7 La presentación tardía y los signos y síntomas inespecíficos a menudo llevan a los médicos a considerar primero la enfermedad tiroidea primaria. Para el estudio de todos los nódulos tiroideos, las pautas sugieren FNAB para el primer intento de diagnóstico. 8 Sin embargo, la PAAF para los cánceres de tiroides agresivos ha sido un desafío y está sujeta a la variabilidad en el diagnóstico exitoso. 9 Si bien la FNAB puede diagnosticar cáncer de tiroides indiferenciado, la hemorragia tumoral, la necrosis o la fibrosis excesiva pueden causar un muestreo inadecuado. 10,11 El estudio Ina2017 de Corea que investigó la BAAF de tiroides frente a la biopsia con aguja gruesa para diagnosticar el CCR metastásico, la BAAF no tuvo mucho éxito. Solo uno de nueve FNAB en 8 nódulos (11 por ciento) pudo confirmar RCC metastásico, mientras que todas las biopsias con aguja gruesa confirmaron RCC metastásico. 12 En una revisión sistemática donde 65 pacientes se sometieron a FNAB de tiroides, la citología con FNAB fue diagnóstica en 25 casos pero no fue diagnóstica o no confirmatoria en 40 casos. 1
Nuestro diagnóstico inicial temido era cáncer de tiroides indiferenciado, o ATC, debido a la rápida progresión y la naturaleza invasiva de la masa. Dado el cuadro clínico y la preocupación radiológica por la luz traqueal y la invasión cartilaginosa, insistimos en el diagnóstico del tejido y buscamos tiempo quirúrgico de emergencia. Si bien no tuvo ATC, su pronóstico aún es reservado. Fue estratificada por riesgo como "pobre" en el International MetastaticRenalCell Carcinoma Database Consortium Risk Score, que equivale a una mediana de supervivencia de 7,8 meses. 1

LA CITANCHE MEJORARÁ EL DOLOR DE RIÑÓN/RENAL
Existen diferentes tratamientos para el CCRCc metastásico. La cirugía no es curativa, pero puede prolongar la supervivencia en pacientes con enfermedad metastásica en la tiroides. Hay una tasa de supervivencia estimada de 5-años de aproximadamente el 50 por ciento con la escisión quirúrgica. 14 Sin embargo, dado que tenía metástasis diseminadas y una enfermedad no resecable, el estándar de atención de primera línea es el tratamiento con pembrolizumab y axitinib. 15 De hecho, el reciente ensayo de fase 3, publicado en New England Journal of Medicine y The Lancet, demostró que el tratamiento con pembrolizumab más axitinib resultó en una supervivencia general significativamente más prolongada, una supervivencia libre de progresión y una tasa de respuesta objetiva más alta que el tratamiento con sunitinib, otro receptor de tirosina quinasa aprobado para su uso en el RCC metastásico. Con pembrolizumab más axitinib, la tasa de supervivencia general estimada a los 24 meses puede llegar al 74,4 % (IC del 95 %: 69.9-78,2) 16,17
Conclusión
Presentamos el raro caso de ccRCC metastásico a la tiroides que clínicamente simulaba ATC y fue tratado con una combinación de pembrolizumab y axitinib. Este caso inusual de una masa tiroidea agresiva y de progresión rápida diagnosticada como una metástasis de RCC en la patología final sirve como una trampa y un recordatorio de que se ha documentado que esta entidad recurre incluso después de 31 años de latencia e imita las neoplasias malignas primarias de la tiroides. 1 Este caso, además, destaca la limitación diagnóstica de la PAAF para la enfermedad metastásica de la tiroides, para la cual a menudo se requiere biopsia de tejido.

