Condrosarcoma primario en ectopia renal fusionada cruzada en forma de L coexistente con carcinoma urotelial papilar en vejiga urinaria: una entidad enigmática de mal pronóstico

Mar 28, 2022

Contacto:joanna.jia@wecistanche.com/ WhatsApp: 008618081934791

mayank kumar1, Asma Nalwa2y otros

Resumen

Los condrosarcomas renales primarios son tumores raros de alto grado y, lamentablemente, tienen una patogenia poco conocida y un pronóstico extremadamente bajo. La coexistencia de una malignidad discreta en la vejiga urinaria es aún más rara, con la aparición de un carcinoma urotelial papilar distinto en la vejiga urinaria en este caso. La presentación clínica es inespecífica y las investigaciones radiológicas primarias tienen un alcance limitado para proporcionar un diagnóstico específico de esta entidad. El diagnóstico final es posible mediante un examen histopatológico completo de la muestra resecada, lo que requiere un muestreo extenso y un informe meticuloso. A partir de ahora, la única forma de lograr un mejor pronóstico es mediante un diagnóstico precoz. Es necesario mantener la posibilidad de aparición de sarcomas en sitios raros en los diagnósticos diferenciales. Las anomalías citogenéticas y moleculares asociadas con esta entidad deben dilucidarse para lograr un resultado más satisfactorio en el manejo general del paciente.

Palabras clave:condrosarcoma; riñón; ectopia renal; vejiga urinaria; carcinoma urotelial


Introducción

Los sarcomas renales primarios son tumores poco comunes que representan solo del 1 al 5 por ciento de todas las neoplasias malignas renales (1). De estos, los condrosarcomas renales primarios son extremadamente raros, con solo unos pocos casos informados en la literatura.

Esta neoplasia maligna de alto grado tiene una histología bifásica única con una patogenia, un curso de la enfermedad y un pronóstico aún peores poco conocidos (2). En este documento describimos el primer informe de caso que documenta la aparición de condrosarcoma renal primario en una ectopia renal fusionada cruzada en forma de L que afecta a ambos restos, junto con un carcinoma urotelial papilar distinto en la vejiga urinaria.

cistanche-kidney failure-6(48)

beneficios de la salsa cistanchepuede aliviarsíntomas de insuficiencia renal

Reporte de un caso

Un varón de 50-años de edad presentó hematuria, aumento de la frecuencia y sensación de ardor durante la micción junto con dolor en el flanco izquierdo durante 2 meses. Había antecedentes de debilidad generalizada, pérdida de peso y pérdida de apetito durante este período. En el examen, el paciente estaba mal nutrido con la presencia de una masa abdominal palpable en el lado izquierdo.

La ecografía (USG) del abdomen mostró la presencia del ectópico derechoriñóne hidronefrosis del lado izquierdo. Se observó una masa heterogénea en el riñón izquierdo. También se apreció otra masa polipoidea en la luz de la vejiga urinaria, adherida a su pared posterolateral.

La tomografía computarizada con contraste (CECT) del abdomen ayudó en la anatomía renal y la caracterización de la masa, que reveló una ectopia renal fusionada cruzada en forma de L. La derechariñónno estaba presente en la fosa renal derecha y estaba en la línea media, anterior a la bifurcación aórtica a nivel de L4-L5. Era una malrotación y fusionada con el polo inferior del riñón izquierdo. El riñón izquierdo estaba agrandado, con una gran masa blanda de densidad de tejido heterogéneo que involucraba las regiones interpolar y del polo inferior que mostraba realce heterogéneo con áreas centrales sin realce. Se observaron pocos focos calcificados en la masa, junto con hidronefrosis moderada. En la fase tardía (15 minutos) no se registró excreción de contraste por el riñón izquierdo. La región interpolar del riñón derecho estaba infiltrada contiguamente por la masa renal del polo inferior izquierdo. Pequeños trombos tumorales estaban presentes en las venas renales derechas segmentarias que drenan la región interpolar. También se observaron adenopatías aortocavas, paraaórticas e hiliares renales izquierdas.

Junto a estos hallazgos se aprecia una masa polipoidea bien delimitada en la pared posterolateral izquierda de la vejiga urinaria que infiltra la unión vesicoureteral izquierda. Las partes media y distal del uréter izquierdo estaban afectadas de forma contigua por esta masa de vejiga urinaria. Un borde periférico de calcificación estaba presente.

Debido a la participación de masas realzadas multifocales de las fracciones de ectopia renal fusionada cruzada, vejiga urinaria y uréter izquierdo, los diagnósticos diferenciales radiológicos ofrecidos fueron carcinoma multifocal de células de transición, carcinoma de células renales (RCC), variante de adenocarcinoma mucinoso con diseminación multifocal, y sarcoma renal

No se encontró lesión a distancia en el estudio de metástasis.

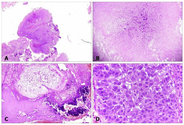
Inicialmente se realizó resección transuretral de la lesión vesical. El examen microscópico mostró características de carcinoma urotelial papilar no invasivo, predominantemente de bajo grado con áreas focales de alto grado, junto con extensa calcificación distrófica y necrosis, y metaplasia ósea focal (Figura 1).

Posteriormente, el paciente fue llevado a cirugía para la resección de la masa renal, realizándose además una nefrectomía izquierda con nefrectomía parcial derecha. El espécimen fue enviado para examen histopatológico. Los resultados mostraron que la cápsula estaba intacta. Cortar la sección de la izquierdariñónmostró una tumoración de 14x11x10 cm, reemplazando toda la estructura normal. La pelvis renal no fue identificada, y parte de la derechariñónconsistía en áreas quísticas y sólidas, con tumor de 3x2.5x2 cm (Figura 2).

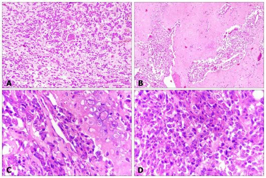
Múltiples secciones examinadas tanto de lariñonesmostró un tumor compuesto por grandes áreas de diferenciación cartilaginosa junto con células tumorales dispuestas en láminas y fascículos difusos. Se observaron marcado pleomorfismo y actividad mitótica, 18-19/10hpf. Hubo una transición abrupta a nódulos bien diferenciados de cartílago hialino. El estroma intermedio mostró áreas focales consistentes de cambio mixoide con infiltrado de células inflamatorias crónicas. La formación de osteoide focal estaba presente, con numerosas células gigantes y restos apoptóticos. También se identificaron áreas de calcificación en alambre de gallinero y hemorragia, junto con grandes secciones necróticas (Figura 3).

Las células tumorales fueron inmunopositivas para CD99 con fuerte expresión de la proteína S100 en las áreas de diferenciación cartilaginosa, inmunonegativas para pancitoqueratina, CK7, CK20, p63, desmina y miogenina, y con retención de la expresión de INI1 (Figuras 4 y 5). Estas características morfológicas e inmunohistoquímicas sugirieron la presencia de un condrosarcoma primario en una ectopia renal fusionada cruzada que involucraba ambas fracciones.

El paciente se perdió para el seguimiento después del alta del hospital después de un período posquirúrgico sin incidentes de 2 semanas.

cistanche-kidney pain-4(28)

Cistanche puede tratarsignos de insuficiencia renal

Discusión

Los condrosarcomas mesenquimales, informados por primera vez en 1959, son neoplasias raras y constituyen alrededor del 1 por ciento de todos los condrosarcomas que se observan comúnmente en el esqueleto, con un tercio de los casos que surgen en los tejidos blandos y otros órganos. Los sitios de condrosarcoma mesenquimatoso extraesquelético incluyen la cabeza y el cuello, las extremidades inferiores, el tronco y el retroperitoneo (3,4). El condrosarcoma renal primario es muy raro, con solo un puñado de casos informados desde que la entidad se describió por primera vez en 1984 (5).

Aunque es raro, la aparición de condrosarcoma renal como lesión primaria no es inesperada, ya que lariñón y cartílagotienen el mismo origen mesodérmico (4). Sin embargo, la histogénesis exacta es incierta y, debido a la rareza de la entidad, se han realizado muy pocos estudios sobre la patogénesis.

cistanche-kidney failure-3(45)

La hipótesis más aceptada es que el desarrollo del tumor ocurre en dos etapas, con una transformación maligna secundaria en el tejido disperso durante la embriogénesis. Teorías recientes sugieren que esta entidad ocurre debido a la diferenciación mesenquimatosa patológica en las células madre(1). Pocos estudios han evaluado el papel de la transición mesenquimatosa-epitelial en la patogénesis (6).

Figure 1: Tumor in urinary bladder. Photomicrographs of tumour in urinary bladder, showing noninvasive papillary urothelial  carcinoma (A, 4x), area of necrosis (B, 10x), focus of calcification (C, 10x), and tumour (D, 40x)

El tumor muestra un crecimiento característico, que consiste en componentes celulares de células tumorales indiferenciadas y nidos de cartílago bien diferenciado. La transición del componente indiferenciado a los nidos de cartílago suele ser abrupta. Los diagnósticos diferenciales con el microscopio óptico pueden incluir sarcoma de Ewing, osteosarcoma de células pequeñas, condrosarcoma desdiferenciado y hemangiopericitoma (3). La entidad puede confundirse con el tumor de Wilm ya que las células tumorales indiferenciadas y el cartílago pueden confundirse con componentes blastémicos y mesenquimatosos (7). Sin embargo, el aspecto característico y la ausencia de formación de osteoide y los estudios inmunohistoquímicos ayudan en el diagnóstico.

Figure 2: Gross image of the resected specimen. The photograph shows cut sections of left and right kidney, with extensive tumor.

Es necesario un muestreo extenso y un examen histológico completo para descartar la existencia de CCR que muestre una diferenciación mesenquimatosa extensa con morfología compuesta. El cambio sarcomatoide que incluye la diferenciación osteosarcomatosa y condrosarcomatosa no es infrecuente en los CCR y se ha informado ampliamente (8). En nuestro caso, incluso después de examinar múltiples secciones de varios lugares, no hubo evidencia de RCC.

La ectopia renal fusionada cruzada es una rara anomalía congénita en la que elriñonesestán fusionados y ubicados en el mismo lado de la línea media. Se subclasifica en varios tipos según la configuración de la anomalía de fusión. En este caso, la presencia de esta anomalía y la afectación de ambas fracciones aumentó la complejidad quirúrgica. Sin embargo, la evaluación preoperatoria de la anatomía renal y vascular mediante imágenes desempeñó un papel vital en el manejo general del paciente.

Figure 3: Tumor in kidney. Photomicrographs of tumour in kidney, showing tumour (A, 10x), areas of cartilaginous differentiation (B and C, 10x and 40x), and high mitotic activity (D, 40x).

Hasta donde sabemos, la aparición de condrosarcoma renal coexistente en ectopia renal fusionada cruzada que afecta a ambas fracciones, con carcinoma urotelial papilar en la vejiga urinaria, no se ha informado anteriormente. Un informe de caso anterior describió estas entidades que ocurren como lesiones separadas en el mismoriñón(9). Esta asociación puede ser una coincidencia o puede ser una respuesta a un factor causal común.

Los estudios de imagen juegan un papel integral en la evaluación de una masa abdominal. Sin embargo, hasta la fecha, ninguna característica radiológica específica ayuda en el diagnóstico de condrosarcoma renal. El hallazgo radiológico más frecuente es la aparición de calcificación dentro del tumor (1). Además, el diagnóstico de condrosarcoma renal primario requiere la exclusión de metástasis alriñóndel condrosarcoma esquelético por imagen.

La mayoría de los casos de condrosarcoma renal primario informados en la literatura tenían metástasis en la presentación inicial.

Figure 4: Immunohistochemical findings. Photomicrographs showing immunopositivity of tumor cells for CD99 (A) and S100  protein (B), retention of INI1 expression (C), and immunonegativity for pan cytokeratin (D).

Los sitios de metástasis incluyen el hígado, los pulmones, los uréteres, la glándula tiroides y los fémures (2,10). Ocurrencia simultánea de condrosarcoma mesenquimatoso en elriñóny el bazo también se han informado (11).

Hay muy pocos estudios sobre las anomalías citogenéticas y moleculares en los condrosarcomas renales. La expresión de FLI-1 que se observa en el sarcoma de Ewing lo diferencia del condrosarcoma mesenquimatoso y del osteosarcoma de células pequeñas (12). La fusión HEY1-NCOA2 se considera diagnóstica de los condrosarcomas mesenquimales (13). En los huesos, los condrosarcomas exhiben mutaciones de p53 solo en una minoría de casos. Cuando están presentes, ocurren en tumores de mayor grado (14).

El aumento de la expresión de p53 se asocia con un peor pronóstico general en los CCR (15). Sin embargo, hay escasez de estudios al respecto en condrosarcomas renales primarios. Además, no se ha establecido la asociación con síndromes hereditarios, probablemente debido a la rareza de la afección.

En ausencia de un protocolo de tratamiento definido, se utiliza para el manejo la resección quirúrgica radical con márgenes adecuados y quimioterapia adyuvante con múltiples agentes (16).

Un posible régimen de quimioterapia para la terapia adyuvante es la combinación de doxorrubicina, vincristina y ciclofosfamida, junto con la administración de etopósido e ifosfamida. Las células mesenquimales malignas muestran una mayor expresión del receptor del factor de crecimiento derivado de plaquetas (PDGFR-). Por lo tanto, los agentes que inhiben la función de PDGFR, como dasatinib, sorafenib e imatinib, pueden desempeñar un papel en la terapia (17).

Conclusión

El curso de la enfermedad del condrosarcoma renal primario es poco conocido debido a su rareza y bajas tasas de supervivencia. La elucidación de anomalías citogenéticas y moleculares ayudará a diseñar un protocolo de tratamiento definitivo. A partir de ahora, se puede lograr un mejor pronóstico mediante el diagnóstico temprano y el pronto inicio del tratamiento adecuado. Es necesario tener en cuenta la posible aparición de sarcomas en sitios raros porque en casos tan inusuales, el período disponible para alterar el resultado de la enfermedad es limitado.

To prevent kidney infection symptoms with cistanche , click here to know more.

Para prevenirsintomas de infecciones renalesconCistanche mágica, Haga clic aquí para saber más.


Referencias

1. Buse S, Behnisch W, Kulozik A, Autschbach F, Hohenfellner M. Condrosarcoma primario del riñón: informe de un caso y revisión de la literatura. Urol Int. 2009;83:116–8.

2. Chen D, Ye ZI, Wu X, Shi B, Zhou L, Sun S, Wei B, et al. Condrosarcoma mesenquimatoso primario con invasión renal bilateral y calcificación en pelvis renal: reporte de un caso y revisión de la literatura. Oncol Lett. 2015;10:1075–8.

3. Xu H, Shao M, Sun H, Li S. Condrosarcoma mesenquimatoso primario del riñón con implante sincrónico y carcinoma urotelial infiltrante del uréter. Diagnóstico Pathol. 2012;7:125–7.

4. Takuji K, Suzuki Y, Takata RYO, Takata KOH, Sakuma T, Fujioka T. Condrosarcoma mesenquimatoso extraesquelético del riñón. Int J Urol. 2006; 13:285–6.

5. Malhotra C, Doolittle C, Rodil J, Vezeridis M. Condrosarcoma mesenquimal del riñón. Cáncer. 1984;54:2495–9.

6. Daniel R, Silvia G, De la Cueva T, Paz M, Lloyd A, Antonio B, et al. La transformación de células madre mesenquimales humanas está asociada con una transición mesenquimatosa-epitelial. Res. celda exp. 2008;314:691–8.

7. Tyagi R, Kakkar N, Vasishta RK, Aggarwal MM. Condrosarcoma mesenquimatoso del riñón. Int J Urol. 2014;30:225–7.

8. Husain A, Eigl B, Trpkov K. Carcinoma de células renales cromófobas compuestas con diferenciación sarcomatoide que contiene osteosarcoma, condrosarcoma, metaplasia escamosa y carcinoma del conducto colector asociado: informe de un caso. Anal Quant Cytopathol Histopathol. 2014;36:235–40. Disponible de

9. Callagher J, Winslow D, Grossman A. Condrosarcoma coexistente y carcinoma de células de transición en el riñón. Urología. 1974; 3:473–7.

10. Mehanna D, Rao S. Metástasis hepática en condrosarcoma renal. Singapur Med J. 2004;45:183–5.

11. Pani KC, Yadav M, Priyaa PV, Kumari N. Condrosarcoma mesenquimatoso extraesquelético en la ubicación inusual que involucra el bazo y el riñón con una revisión de la literatura. Ind. J. Pathol Microbiol. 2017;60:262–5.

12. Lee A, Hayes M, Lebrun D, ​​Espinosa I, Nielsen G, Rosenberg A, et al. FLI-1 distingue el sarcoma de Ewing del osteosarcoma de células pequeñas y del condrosarcoma mesenquimatoso. Appl Immunohistochem Mol Morphol. 2011;19:233–8.

13. Wang L, Motoi T, Khanin R, Olshen A, Mertens F, Bridge J, et al. Identificación de una nueva fusión HEY1-NCOA2 recurrente en condrosarcoma mesenquimatoso basada en una pantalla de datos de expresión a nivel de exón de todo el genoma. Genes Cromosomas Cáncer. 2012;51:127–39.

14. Terek RM, Healey JH, Garin-Chesa P, Mak S, Huvos A, Albino AP. Mutaciones de p53 en condrosarcoma. Diagnóstico Mol Pathol. 1998;7:51–6.

15. Mediodía AP, Vlatkovic N, Polanski R, Maguire M, Shawki H, Parsons K, et al. p53 y MDM2 en carcinoma de células renales: biomarcadores para la progresión de la enfermedad y futuras dianas terapéuticas. Cáncer. 2010;116:780–90.

16. Gherman V, Tomuleasa C, Bungardean C, Crisan N, Ona V, Feciche B, et al. Manejo del condrosarcoma mesenquimatoso extraesquelético renal. Cirugía BMC. 2014;14:107–10.

17. Salehipour M, Hosseinzadeh M, Sisakhti AM, Parvin VAM, Sadraei A, Adib A. Renal extraskeletal mesenchymal chondrosarcoma: A case report. Caso Urol Rep. 2017;12:23–5.


También podría gustarte